LABORATORY提携技工所紹介

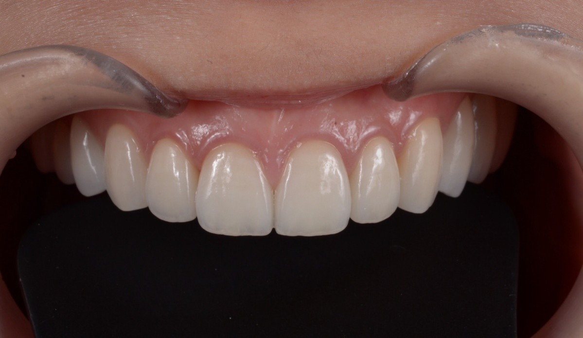
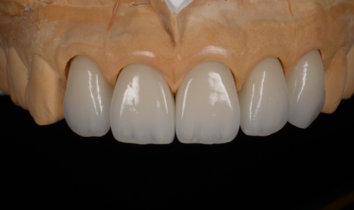
当院では、自由診療におけるすべての技工物(被せ物・詰め物・インプラント補綴)を、世界的に評価される歯科技工所〈QLデンタルメーカー株式会社〉に製作を依頼しています。

QLデンタルメーカーは、ジルコニアおよびe.maxによるセラミック補綴物に特化した技工所です。金属材料は原則使用せず、入れ歯や矯正装置には対応しておりません。素材と補綴物の種類を厳選することで、技工士一人ひとりの専門性を高め、審美性・機能性・安全性に優れた高品質な技工物を効率的にご提供しています。

金属アレルギーやブラックマージンといった健康リスクにも配慮し、患者さまにも技工士にもやさしい環境づくりを徹底。また、熟練のセラミストによる繊細な手技を重視しながらも、3D-CADをはじめとしたIT技術も積極的に導入。築盛を行う技工士自身がジルコニアフレームをデザインすることで、設計から仕上げまで一貫性のある美しさと精度を実現しています。

QLデンタルメーカーとの密な連携により、当院では世界水準のセラミック技工物を、すべての患者さまにご提供しております。機能性と美しさを兼ね備えた、ワンランク上の補綴治療をぜひご体感ください。

QLデンタルメーカー株式会社
https://www.qldm.co.jp/
lab_1 lab_2
lab_3 lab_4
lab_5 lab_6
電話予約 LINE予約 WEB予約